⚡️
Россиянка полетела в Турцию за «улыбкой как у Егора Крида», но получила воспаление и сломанные коронки, — СМИ.
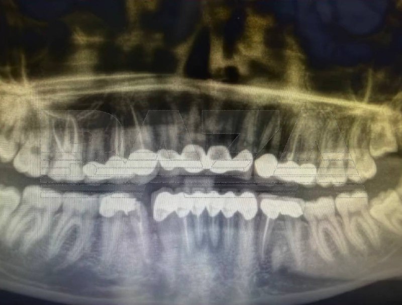
Девушка поехала в турецкую клинику ставить виниры, однако во время процедуры ей сильно
спилили зубы и фактически установили
коронки и мосты. После лечения начались сильные боли и в клинике ей
удалили шесть нервов.Позже воспаление вернулось — в экстренной стоматологии врачи
обнаружили инфекцию, удалили ещё несколько нервов и предупредили о риске госпитализации. Одна из коронок также треснула, а новое лечение оценивают примерно в
$2000.👉 Топор Live. Подписаться